- Liittynyt
- 30.4.2019
- Viestejä
- 12
Hei,
Oma alaselkä on ollut herkkä kipeytymään vuosien saatossa. Imurointi, ruohonleikkuu, nostelu, kaikki aiheuttavat alaselkäkipua. Vähän yli viikko sitten nostin painavaa tasoa. Pari päivää meni ja sitten iski hirveät kivut. Säteili vasempaan jalkaan, reisi, pohje, nilkka. Meni ohi parissa päivässä. Tramalia söin kipuun ja makasin sängyssä.
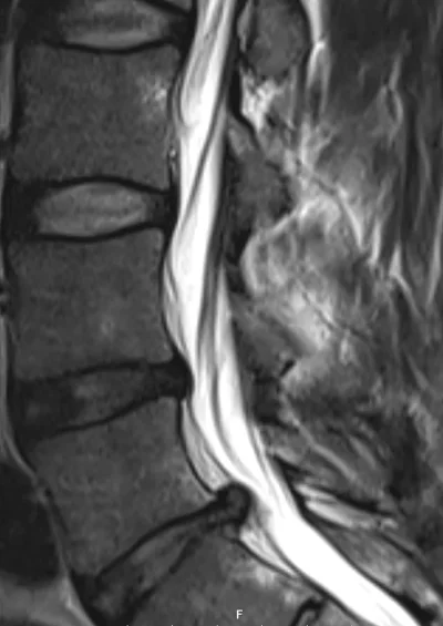
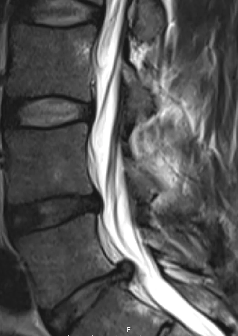
Vaivaksi jäi puutunut ja heikko jalka. Reisi hieman puutunut, pohje ja jalan ulkosyrjä sekä ulommat varpaat puutuneimmat. Kävin itse MRIssä kun ei lähetettä saanut. Pullistuma painaa (L5) S1 juuren tyvialuetta.
Kävin ortopedillä, sanoi että näyttää kyllä pieneltä pullistumalta. Antoi 1.5 viikkoa aikaa tunnon palautumiselle. Jos ei palaudu, harkitaan leikkausta. Kipuja ei juurikaan ole. Varpailla seisominen ei onnistu. Yhdellä jalalla pysyy jo pari sekuntia. Voimaa on tuntunut tulevan päivittäin lisää. Alussa piti ottaa tukea ihmisistä, nyt voi jo kävellä itse melkein normaalisti kunhan varoo enemmän epätasaista maastoa. 3pv sitten kytkimen käyttö autolla oli todellisen työn takana, nyt se onnistuu jo melkein normaalisti.
Kohtalotovereita? Fyssarille vai rauhassa? Ennustetta?
Oma alaselkä on ollut herkkä kipeytymään vuosien saatossa. Imurointi, ruohonleikkuu, nostelu, kaikki aiheuttavat alaselkäkipua. Vähän yli viikko sitten nostin painavaa tasoa. Pari päivää meni ja sitten iski hirveät kivut. Säteili vasempaan jalkaan, reisi, pohje, nilkka. Meni ohi parissa päivässä. Tramalia söin kipuun ja makasin sängyssä.
Vaivaksi jäi puutunut ja heikko jalka. Reisi hieman puutunut, pohje ja jalan ulkosyrjä sekä ulommat varpaat puutuneimmat. Kävin itse MRIssä kun ei lähetettä saanut. Pullistuma painaa (L5) S1 juuren tyvialuetta.
Kävin ortopedillä, sanoi että näyttää kyllä pieneltä pullistumalta. Antoi 1.5 viikkoa aikaa tunnon palautumiselle. Jos ei palaudu, harkitaan leikkausta. Kipuja ei juurikaan ole. Varpailla seisominen ei onnistu. Yhdellä jalalla pysyy jo pari sekuntia. Voimaa on tuntunut tulevan päivittäin lisää. Alussa piti ottaa tukea ihmisistä, nyt voi jo kävellä itse melkein normaalisti kunhan varoo enemmän epätasaista maastoa. 3pv sitten kytkimen käyttö autolla oli todellisen työn takana, nyt se onnistuu jo melkein normaalisti.
Kohtalotovereita? Fyssarille vai rauhassa? Ennustetta?
