Alaselkäkipuja jo kymmenen vuotta. Onko kohtalotovereita?

  • Keskustelun aloittaja Keskustelun aloittaja wnha
  • Aloitettu Aloitettu
Eipä selvittänyt, eikä selvittänyt röntgenkään. Tänään tuli sitten kotiin virallinen lausunto magneetista ja summa summaarum: "Voimakastasoinen diskusdegeneraatio L4/5-tasolla". Että näillä mennään... Bah...
Multa ei magneettia ole otettu, mutta fysiatri antoi diagnoosiksi "välilevyrappeuma 4:s ja 5:s nikamien välissä". Aika samalta kuulostaa vaikken mikään asiantuntija olekkaan. Sain diagnoosin joku 5 vuotta sitten. Täähän ei parane mihinkään, joten itsehoidolla yritetän hanskata vain oireita/kipuja. tässä omaa vinkkilistaa jolla olen pärjännyt varsin kohtuullisesti
- patja, ja tyyny kuntoon että ranka nukkuu siinä asennossa missä pitää. Eli oman painon/nukkumistyylin mukaan valittu patja + tyyny
- keskivartalon syvät lihakset kuntoon. Vatsarutistuksia jumppapallon päällä, kiertoja, vatsalihasnylkytyksiä taljassa, pilateksia jne.
- etsi itsellesi sopiva fysioterapeutti. Ei siis sellainen jolla on asianmukaiset paperit vaan sellainen joka saa just sun vaivaasi tuloksia. Itse olen käynyt ehkä 10:llä eri fysiolla: joukossa 6 ok:ta, 2 hyvää ja 2 loistavaa (joista toinen valitettavasti Levihotellin kylpylässä). Ainakin mulla tää menee no pain, no gain eli homma alkoi antaa tuloksia siinä vaiheessa kun löytyi fysiö joka uskalsi antaa riittävästi runtua. Eihän tää välilevyjä tietenkään fiksaa mutta toi välilevyvika säteilee käsittämättömänä kasana lihasjumeja/liikkuvuusongelmia joiden hanskaaminen helpottaa elämää kovasti
- reipas kävely auttaa. Mitä useammin sen parempi. Vastaavasti kaupungilla shoppailulonniminen on pahinta myrkkyä. Cross trainer on myös hyvä, pitaa huolta selän liikkuvuudesta, IMO aktivoi keskikropan lihaksia jne. Kannattaa säätää suht jyrkäksi tän kulma/mäki tietenkin omaa kroppaa kuunnellen...
- maagisista "TV-shop" luokan välineistä piikkimatto toimii ainakin mulla. Viimeksi eilen maalailin terassia/varastoa ja hankalat työasennot aiheutti sellaisen normijumin alaselkään; 15 min pikkimatolla ja pahimmat oireet poissa. En tiedä miksi auttaa, eikä juurikaan kiinnosta, koska toimii. Ei maksa juuri mitään, kantsii kokeilla josko jeesaisi yhtään

Paino kuriin ja rasvat alas, kuten itsekkin totesit aiemmin. 4:s ja 5:s nikama kantaa kivasti koko yläkropan painon eli jokainen gramma pois on poissa niiden kuormasta.

Erittäin vittumainen vaiva on kyseessä, mutta mulla ainakin diagnoosin jälkeen mentiin kovasti parempaan suuntaan; muutaman vuoden tuskailun jälkeen sai tietää mikä oli vikana ja mitä asialle voi tehdä. Omalla tekemisellä on tähän vaivaan todella suuri vaikutus.
 
Selkäkivut alkoivat jo 95-96 kun ajelin taksia (istumatyö ja liikunnanpuute) lääkärissä ja hierojalla tuli käytyä ja relaksantteja sun muuta syötyä. Välillä oli joitakin kivuttomia viikkoja ja taas vaivat tulivat takaisin. (vaikka vaihdoin ammattia) Tätä paskaa kesti 10 vuotta!!!
Lopulta kokeilin Pilatesta, Joogaa, kuntosalia, BJJ:tä ja vaparia. Jooga ja kuntosalilla käynti helpottivat jonkin verran kunnes löysin kahvakuulat... Nyt säännöllinen kuntosali (vältän maastanostoa) huolellinen venyttely (varsinkin alaselkä) sekä 2-3 kertaa viikossa kahvakuulan heiluttelua ovat poistaneet kivut käytännössä kokonaan.
Jätin jossain vaiheessa kahvakuulan ja venyttelyn vähemmälle niin heti huomasi selän alkavan vaivata.

Mä treenaan nyt myös kahvakuulalla. Aika pienillä painoilla mennään, koska alaselkä on tosi herkkä. Oletko kokenut erityisesti tietyt liikkeet paremmaksi? Itse pitäisi panostaa yleensäkin syvien selkälihasten vahvistamiseen. Projekti on tosin alkanut, sillä kahvakuulailussa pidän ryhdin, vedän vatsaa sisään ja ylipäätään aktivoin lihaksia. Ongelma onkin huono työasento. Kun oikaisen ryhtiä ja rankaa, tuntuu lihasjännitys alaselässä. Tosin nämä kivut helpottuvat vain, kun totutan lihakset uuteen ergonomisempaan työasentoon.
 
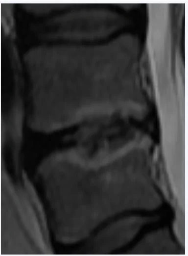
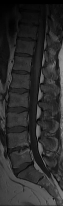
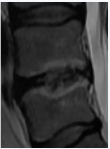
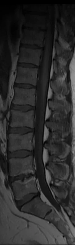
Mä pistän tohon pari croppausta noista magneettikuvista, jos ette oo nähny miltä "diskusdegeneraatio" näyttää. Ja vielä voimakasasteinen sellainen. Ei tarvi olla tosiaan radiologian erikoislääkäri nähdäkseen noista että vikaa on kun vertaa tota yhtä kohtaa muihin välilevyihin.

Nyt on suunnitelma seuraava:
- Pistin tilaukseen Tunturi C35-crosstrainerin, siinä on edessä vastus ja liikeradan pitäis olla toimiva selkävaivaiselle jolla vasen polvi haittaa kuntopyörällä ajelua. Tällä sitten joka arkiaamu klo 6:30 puolen tunnin hikoilu tyhjällä vatsalla (no, ehkä vihreetä teetä ja kofeiinitabua alle tms) ennen muita aamutoimia.
- Syöminen ruotuun ja ensimmäinen askel on "know thyself" eli ruokapäiväkirjan aloittaminen. Tavoitteena saada painoa ensi kesään mennessä ~80 pintaan tai alle (nyt ~106, pituutta jotain 177cm) siten että kehitys on kestävää eikä mitään pikadieettiä. Olen sen verran rotevarakenteinen muutenkin että tuskin sitä pahemmin alle 80 saan, mutta sekin jo tyydyttäis hyvin.
- Ensi viikolla fysiatrille, katotaan mitä sanoo. Ehkä työfysioterapeutilla reissu.
- Jos fysiatrille kelpaa, niin pilatesta vois ruveta kans harjoitteleen.
- Kerran viikossa vesikävelyä, jostain selkävaivaisten foorumilta annoin itselleni kertoa että soveltuu monille joilla selkä prakaa.
 

Liitteet

  • MRIZoomattu.webp
    MRIZoomattu.webp
    6,5 KB · Katsottu: 737
  • MRIKoko.webp
    MRIKoko.webp
    10,7 KB · Katsottu: 828
Mä treenaan nyt myös kahvakuulalla. Aika pienillä painoilla mennään, koska alaselkä on tosi herkkä. Oletko kokenut erityisesti tietyt liikkeet paremmaksi? Itse pitäisi panostaa yleensäkin syvien selkälihasten vahvistamiseen. Projekti on tosin alkanut, sillä kahvakuulailussa pidän ryhdin, vedän vatsaa sisään ja ylipäätään aktivoin lihaksia. Ongelma onkin huono työasento. Kun oikaisen ryhtiä ja rankaa, tuntuu lihasjännitys alaselässä. Tosin nämä kivut helpottuvat vain, kun totutan lihakset uuteen ergonomisempaan työasentoon.

Lähinnä erillaisia keskivartaloliikkeitä. mm: etuheilautus, puolikuu, russian twist, tuulimylly, turkkilainen ylösnousu ja lopuksi tärkein alaselän venytysliike minulle, Hindu pushup kahvakuulalla. Venyttää mun alaselkää tosi hyvin.
 
Lähinnä erillaisia keskivartaloliikkeitä. mm: etuheilautus, puolikuu, russian twist, tuulimylly, turkkilainen ylösnousu ja lopuksi tärkein alaselän venytysliike minulle, Hindu pushup kahvakuulalla. Venyttää mun alaselkää tosi hyvin.
Minkäslainen setti kuulia Carcassilta löytyy eli mitä kannattaisi hommata nimenomaan noita keskivartaloliikkeitä huomioiden? Fysiot on muakin patistellu kuulien pariin ja ois kiva saada vähän vinkkiä millaisilla kuulilla pääsis mukavasti alkuun.
 
Minkäslainen setti kuulia Carcassilta löytyy eli mitä kannattaisi hommata nimenomaan noita keskivartaloliikkeitä huomioiden? Fysiot on muakin patistellu kuulien pariin ja ois kiva saada vähän vinkkiä millaisilla kuulilla pääsis mukavasti alkuun.

Olen tee-se-itse mies ja minulla on kaksi omatekoista säädettävää kuulaa. http://www.youtube.com/watch?v=9YpTP1PRzAU

Vaihtelen 8-20kg riippuen mitä liikettä teen. Lämmittelyn aloitan 8kg painosta, vartalon ympäri pyöritystä ym... Mutta eiköhän keskivertomiehen kannata ostaa 16kg kuulat, nilllä kyllä tekee jo kaikki keskivartaloliikkeet.
 
Eli olen kärsinyt alaselkäkivuista jo kymmenen vuotta. Alaselkä kipeytyi 18-vuotiaana ilmeisesti polvien yläpuolelta vedossa. Eli kyseessähän on selälle ilmeisen raskas liike. Itse liikkeen aikana tai sen jälkeen ei tuntunut mitään ihmeellistä, mutta seuraavana aamuna ei meinannut päästä sängystä ylös. Siis selkä oli oikeasti niin kipeä, ettei oikeasti ei meinannut päästä ylös, joutui kierrähtämään jotta pääsi sängystä pois. Siitä lähtien on alaselkä ollut enemmän tai vähemmän kipeä. Alaselässä tuntuu vihlontaa lähes tulkoon 24/7, joskus on kivuttomia ajan jaksoja, jotka kestävät maksimissaan viikon. Lääkärissä on käyty ja röntgenissä ei löytynyt mitään. Tällä hetkellä ei tarvitse kuin istua tietokoneen ääressä 10 min niin selkään taas sattuu niin, että joutuu kävelemään kuin vammainen. Selkä kipeytyy joka asennossa, niin ryhdikkäästi istuessa kuin selkä pyöreänä.

Olen ymmärtänyt, että alaselkäkivut ovat melko yleisiä... Onko muilla alaselkäkipuja? Onko palstalla mahdollisesti kivuista eroon päässeitä? Millä olette kivut "selättäneet"? Välillä ovat lihasrelaksantit auttaneet ja ajattelin taas lähteä niitä lääkäriltä kinuamaan. Mutta jos joillakin on vinkkejä miten voi selvitä niin kertokaas ihmeessä, eihän noita Sirdaludejakaan voi kai loppu elämää syödä. Voiko alaselkää vaikkapa jotenkin venytellä? Alan olemaan epätoivonen ja harkitsen jo tv-shopista back 2 life -vehkeen tilaamista, vaikka en tuohon uskokaan...

Nostan häpeämättömästi vanhan tredin ilmoittaakseni että Back2Life todella toimii, se yhdistettynä Damage control-alaselkäkompleksiin paransi kohtuu paskamaisen lumbagon.
 
Itsellä suuri osa alaselän kivuista johtuu virheasentojen sun muiden aiheuttamista kireistä lihaksista. Jatkuva ja säännöllinen syvävenyttely pohkeille, takareisille ja perseelle ovat auttaneet paljon. Todella monella on takareidet ja pohkeet aivan juntturassa eivätkä he edes tajua sitä.
 
Mulla katosi alaselän vaivat Kun SI-nivel laiteltiin paikoilleen. Sitä ennen tuskaisat 6 viikkoa saikulla, joka viikko lihasrelaksanttia ja tulehuskipulääkettä piikillä persaksiin keskimäärin kahdesti. Tämän jälkeen on tullut huolehdittua mm. venyttelystä hieman eri tavalla.
 
Back
Ylös Bottom